

Der Vesikoureterale Reflux kann in Folge des Infekts und oder dem hydrostatischen Druck zur Refluxnephropathie und über die sich entwickelnde Narbenbildung zur "Kleinen Niere" führen (
s. Harnleiter/VUR). Die Refluxnephropathie entsteht aus dem vesikoureteralen und interrenalen Reflux. Dadurch kann ein bestehender Harnwegsinfekt in das Nierenparenchym übergreifen und zur Narbenbildung führen (Abbildung 6). Es ist aber auch möglich, dass allein durch den hohen hydrostatischen Druck des in das Nierenbecken zurückfließenden Urins Narbenbildung zustande kommt.
Die Refluxnephropathie ist von einer fortschreitenden Destruktion des Nierenparenchyms geprägt (Abbildung 7). Die pathologischen Veränderungen sind dabei abhängig vom Grad des Refluxes und oder der bakteriellen Infektion.
Die Nieren sind klein und haben ein Gewicht von ca. 40g. Die Nierenoberfläche ist diffus-höckrig. Refluxnarben finden sich an den Polen und der Mitte des Organs. Auf der Schnittfläche zeigt sich das Parenchym reduziert, z.T. mit abgeflachten Papillen und Bildung von Exkavationen bzw. Rezessi (Abbildung 7,8,9)
Literatur:Laberke, H. G.: "Die Refluxnephropathie", Gustav Fischer Verlag Stuttgart, 1987.
Beispiele Nieren mit ausgeprägter Refluxnephropathie.
b
b
Histologisch finden sich die Zeichen des pyelointerstitiellen Refluxschadens mit vernarbten Glomerula und Destruktion der Tubuli (s. Abbildung 2).
Rezidivierende Harnwegsinfekte bzw. Hypertonus führen als Leitsymptom bei der Mehrheit der Patienten zur entsprechenden Diagnostik.
b
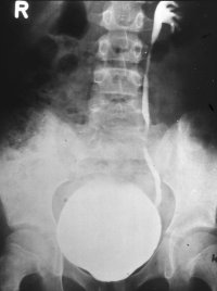
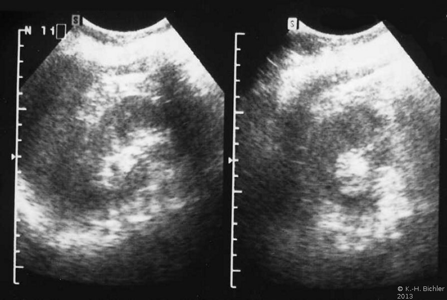
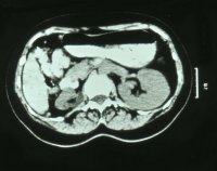
Neben der Anamnese, körperlicher Untersuchung, Messung des Blutdruckes sowie der Laboruntersuchungen: Urinstatus, Serumkreatinin und -Elektroylte ist die Sonographie zur Feststellung einer einseitig kleinen Niere zielführend (Abbildung 10a). Zur Diagnostik zählt fernerhin die NFZG (Abbildung 10b) bzw. Computertomographie.
Computertomographie zur Diagnostik der kleinen Niere. Zum Beispiel eine pyelonephritisch veränderte linke Niere im Computertomogramm und im weiteren Beispiel CT und Organpräparat einer rechtsseitigen kleinen Niere.
Und in einem weiteren Beispiel CT und Organpräparat einer rechtseitigen "kleinen Niere" (Abbildung 11, 12ab).
Die Differentialdiagnostik pyelonephritische Zwergniere oder kleine Niere bei Refluxnephropathie erfordert ein Miktionszysturethrogramm. Fernerhin DMSA-Nierenszintigraphie (
s. Bildgebende Verfahren).
b
Die Abbildungen zeigen die Anwendung von Sonographie und Miktionszysturethrogramm bei einer kleinen stummen Niere (Abbildung 13, 14).
b
b
Als empfindlichstes Verfahren zum Nachweis von entzündlichen bzw. narbigen Veränderungen im Nierengewebe hat sich die statische Szintigraphie mit Tc-99m-DMSA bewährt. Der Nachweis von umschriebenen oder diffusen Minderanreicherungen des Radiopharmakons spricht für Parenchymdefekte in Folge des VUR.
Das nachfolgende Beispiel zeigt einen entsprechenden Parenchymdefekt bei VUR (Abbildung 15).
Das diagnostische Vorgehen bei dem vesikoureteralen Reflux bzw. der Refluxnephropathie ist in Algorithmen, deren Eingangskriterien variieren, dargestellt (
Abbildung 16). Sie beinhalten aktuelle klinische Symptome, anamnestische Angaben und das Alter der Patienten.Im Vordergrund stehen sonografische Verfahren, die durch die wenig strahlenbelastenden nuklearmedizinischen Methoden ergänzt werden können, ohne dass jedoch in den meisten Fällen auf eine radiologische Miktionszysturethrographie (MCU) verzichtet werden kann.
Folgt man Sigel, so ist das MCU noch immer der Goldstandard (
Abbildung 16)
Literatur:Sigel, A., Ringert, R.-H.: "Kinderurologie", 2. Auflage, Springer Berlin, 2001.
Wegen des Zusammenhanges zwischen vesikoureteralem Reflux und kindlicher Nephropathie ist eine frühe Abklärung der Refluxursache notwendig, um rechtzeitig geeignete therapeutische Maßnahmen einleiten zu können. Die Ablauffolge der möglichen diagnostischen Maßnahmen hängt von verfügbaren Methoden im klinischen Umfeld ab und erfordert darüberhinaus eine enge Kooperation von Pädiatern, Nephrologen/Urologen, Nuklearmedizinern und Radiologen.
Vergleiche hierzu auch den Abschnitt VUR im Kapitel Fehlbildungen des Harnleiters (
s. Harnleiter/VUR).