

Gefäßbedingte kleine Nieren sind Folge von Arterienstenosen, ausgedehnter Tumorbildung, z.B. retroperitoneale Lymphknotenpakete beim Hodentumor. Beim Neugeborenen werden anämische Niereninfarkte durch Thrombosteile aus dem Ductus arteriosus beobachtet
Literatur:Zollinger, H. U.: "Niere und ableitende Harnwege" in Doerr, W., Uehlinger E.: "Spezielle pathologische Anatomie", Bd. 3, Springer Berlin, 1966.
Im späteren Erwachsenenalter treten Schrumpfnieren durch Arterosklerose der Arteria renalis auf.
Eine vaskuläre Schrumpfniere kann im Gefolge eines Tumorprozesses z.B. LK-Metastasen beim Hodenkarzinom auftreten.
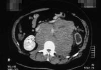
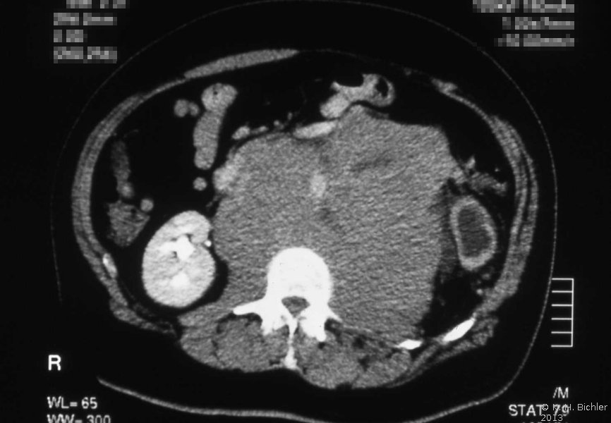
Die ausgedehnte retroperitoneale LK-Metastasierung (Bulky disease) eines Hodentumors (Embryonalkarzinom und Seminom) mit Ummauerung der großen Gefäße (Aorta und Vena cava) sowie des linksseitigen Nierengefäßstieles führte bei dem jungen Mann zu einer vasculär bedingten Schrumpfung der linken Niere (Abbildung 18a,e) (
s. Tumoren/Hoden).
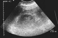
In der Sonographie fand sich eine kleine Niere links bei unauffälliger rechter Niere (Abbildung 18b).
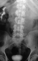
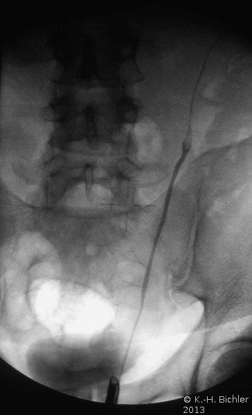
Das Ausscheidungsurogramm ergab eine stumme Niere links (Abbildung 18c). Die retrograde Sondierung zeigte eine deutlische Kompression des Harnleiters sowie eine verkleinerte Niere links mit destruierten Kelchen (Verplumpung) (Abbildung 18d).
Die entfernte Niere zeigte eine noch weitgehend glatte Oberfläche mit einem schmalen Parenchymsaum und vermehrtes Hilusfettgewebe (Abbildung 18e). Histologische fand sich kein Anhalt für Pyelonephritis. Es lag danach eine vaskulär bedingte Schrumpfniere links vor.
b



b 
d

Die seltene autoimunologisch verursachte, generalisierte, entzündiche Gefäßerkrankung (Arteriitis - Takayasu-Syndrom) kann unter anderem zur Nierenarterienstenose und letztlich kleiner vaskulär bedingter Schrumpfniere führen.
Der Erkrankungsbeginn liegt zwischen dem 10. bis 20. Lebensjahr. Mädchen sind häufiger betroffen als Jungen.
Beispielhaft der Krankheitsverlauf der Arteriitis bei einem 13jährigen Mädchen.
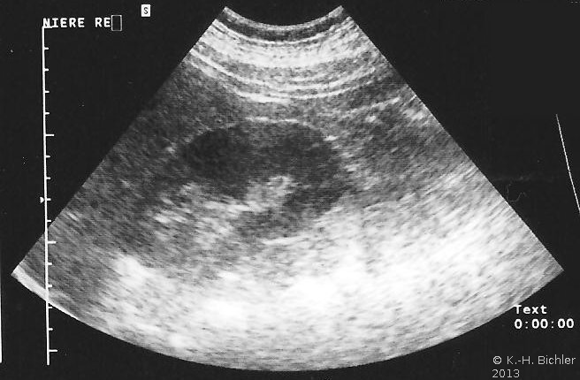
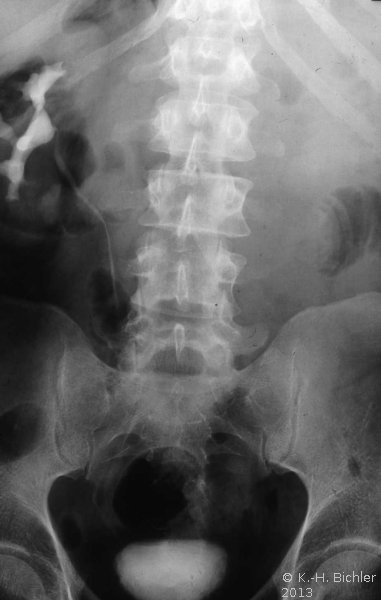
Das Mädchen kam wegen Fieber (39°C), Flankenschmerzen und Blutdruckwerten um 140 zu 80 mmHg in urologische Behandlung. Die eingeleiteten Untersuchungen ergaben sonographisch eine leicht verkleinerte linke Niere, im Labor ein unauffälliges Urinbild, mikrobiologisch negativ, im Serum unauffällige Entzündungsparameter.
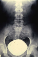
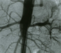
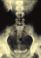
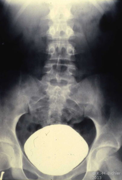
Die Röntgenübersicht der Niere und ableitenden Harnwege zeigten keinen Anhalt für Konkrement. Im Ausscheidungsurogramm eine "stumme Niere" links (Abbildung 19a). Bei der retrograden Sondierung links fand sich keine Abflussbehinderung (Stein oder Stenose) (Abbildung 19c). Im MCU kein Anhalt für Reflux (Abbildung 19b). Im Nierenfunktionsszintigramm MAG3 wurde eine seitengetrennte Funktionsverteilung von rechts zu links wie 93% zu 7% festgestellt. Zur Abklärung eventueller Gefäßalterationen erfolgte eine Renovasographie mit dem Nachweis einer langstreckigen Stenose der linken Arteria renalis (Abbildung 19d). Wegen des Verdachtes auf eine generalisierte Arteriitis wurden Angiographien weiterer Gefäßgebiete durchgeführt: Dabei fanden sich eine geringgradige Einengung der infrarenalen Aorta und der linken Arteria subclavia.
Diagnose: Generalisierte Arteriitis - Takayasu-Syndrom
Die Behandlung umfasste neben der perkutanen, transluminalen Dilatation der A. renalis die systemische Behandlung mit Cortison und β-Blocker. Unter dieser Behandlung kam es zur Verbesserung der linksseitigen Nierenfunktion auf 30%. Das AUR zeigte eine zeitgerechte Kontrastmittelausscheidung (Abbildung 20). Im weiteren Verlauf ist evtl. eine neuerliche Dilatation erforderlich bzw. eine operative Versorgung der Nierenarterienstenose.
Die übrigen Stenosen wurden mit Rücksicht auf den generalisierten Befund zunächst nicht invasiv angegangen.
Unbehandelt beträgt die fünfjahres-Überlebensrate 25%-75%.