

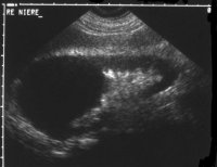
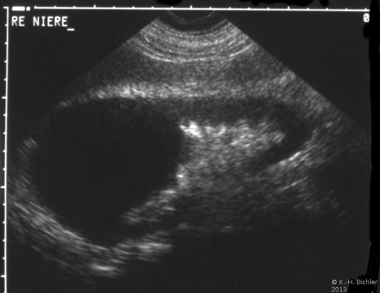
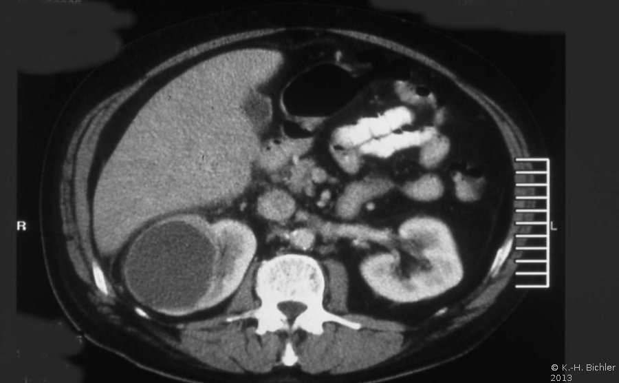
Diagnose und Behandlung von komplexen renalen Zysten bzw. unklaren Befunden umfassen eine Kombination von Sonographie, Urographie und CT (Abbildung 1). Dadurch soll eine Abgrenzung zwischen gutartigen und bösartigen Veränderungen erfolgen.
Die Abklärung bei komplexen zystischen Prozessen ist im Algorithmus aufgezeigt (Abbildung 2).
b
c