


Der Krankheitsverlauf ist gekennzeichnet von Fieber, sich entwickelnder lokaler Schmerzhaftigkeit und Rötung des Skrotum. Zeichen des Harnwegsinfektes mit Dysurie können im Voraus bestehen.
Rötung und Schwellung des Skrotums. Spontaner und Druckschmerz des Hodens.
Die Abbildung gibt den Aspekt einer typischen Epididymitis wieder, die sich zum Abszess hin (mit Einschmelzung des Nebenhodens) entwickelt hat (Abbildung 1). Bei vorsichtiger Palpation kann man einen deutlich vergrößerten Nebenhoden tasten, oftmals aber nicht abgrenzbar! Der betroffene Skrotalbereich ist extrem schmerzhaft, die Haut gerötet und von verstrichener Fältelung.
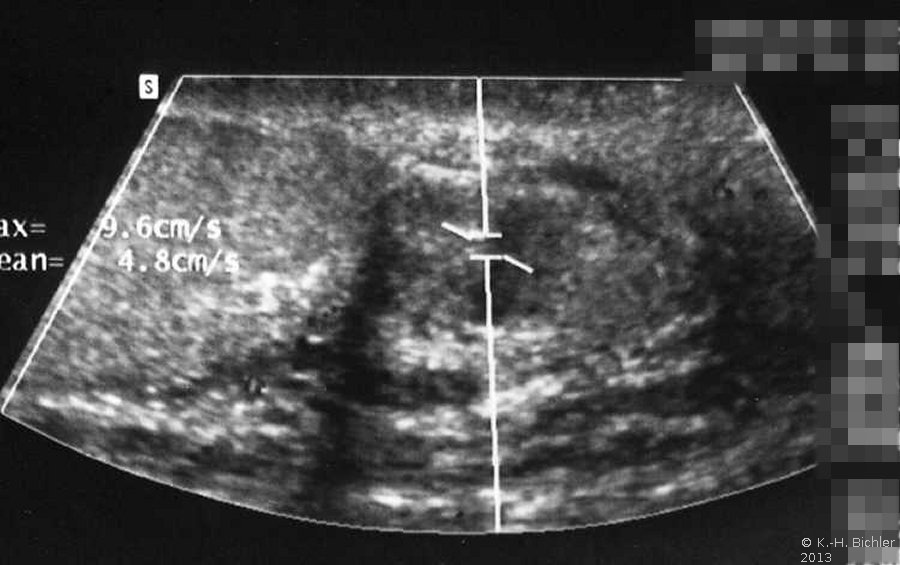
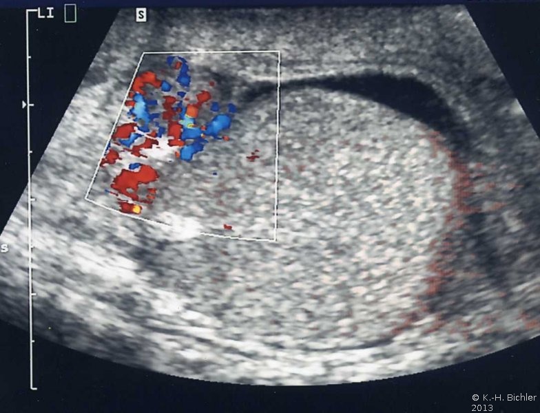
Sonographie: Vergrößerter und destruierter Nebenhoden (Abbildung 2).
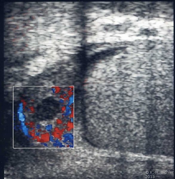
In der Angiodynographie vermehrte Farbimpulse im Nebenhodenbereich (Abbildung 3), evtl. AUR: bei Verdacht auf Obstruktion der Harnwege mit Harnwegsinfekt
Literatur:Al-Tahini, K. M. et al: "Acute Epididymitis in Children: The Role of Radiologic Studies", J Urol, 71, 826-829, 2007.
b
Neben der wichtigsten: Hoden- bzw. Appendix testis-Torsion kommen Hodenkarzinome bzw. stumpfe Traumata in Frage. Zur Abklärung ist unter Umständen eine Freilegung erforderlich (Abbildung 4)
Literatur:Kreienbühl, B.: "Epdididymitis acuta oder Hodentorsion? - Eine nicht immer einfache Differentialdiagnose", Therapeutische Umschau, 49, 11-16, 1992.