

b 
b 
b
Als klinisch wichtige Komplikation der Pyelonephritis ist der Nierenabszess zu nennen. Die Abbildung zeigt im Schema die Abszedierung in und um die Niere (Abbildung 4)
Literatur:Bichler, K.-H., Zumbrägel, A., Feil, G., Michels, A.: "Nierenabszesse - Diagnose und Therapie", Nieren- und Hochdruckkrankheiten, Jahrgang 28, Nr. 4, 146-151, 1999
Johnson, J. R.: "Pyelonephritis and Abscess of the Kidney" in Armstrong, D., Cohen, J.: "Infectious Diseases", Mosby St Louis, 1999.
Vor allem E. coli (gram-negativ) bzw. Staph. aureus (gram-positiv) kommen am häufigsten als Erreger der Abszesse in Frage (Tabelle 1).
| Erregertyp | Erreger | Anteil |
|---|---|---|
| Gramnegativ | Escherichia coli | 36% |
| (aufsteigende Infektionen) | Proteus mirabilis | 18% |
| Klebsiella pneumoniae | 14% | |
| Pseudomonas aeruginosa | 11% | |
| Enterobakter | 6% | |
| Grampositive | Staphylokokkus aureus | 8% |
| (hämaotgene Infektionen) | Enterokokkus | 4% |
| Sonstige | Candida albicans | 1% |
Die Pathogenese der Abszessbildung in der Niere und weitergehend in der Ausbreitung der pyogenen Infektion in den peri- bzw. paranephritischen Raum sind in der Abbildung dargestellt (
Abbildung 5, s. auch Abbildung 4).
Fieber, z.T. intermittierend, Schmerzen in der Lendengegend, evtl. Schonstellung des betreffenden Beines (M. psoas-Irritation). Labor: Leukozytose.
Differentialdiagnose: Intraabdominale Abszesse (subphrenisch -hepatisch, perityphlitisch) (
s. Notfälle/Akutes Abdomen)
In der Diagnostik der Nierenabszesse (intra- bzw. peri/paranephritisch) spielen neben der Anamnese, Symptomatik (Fieber, Flankenschmerzen) die Laboruntersuchungen: Entzündungsparameter wie BSG und CRP, Kreatinin und Elektrolyte sowie der Urinstatus eine Rolle.
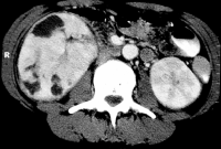
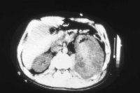
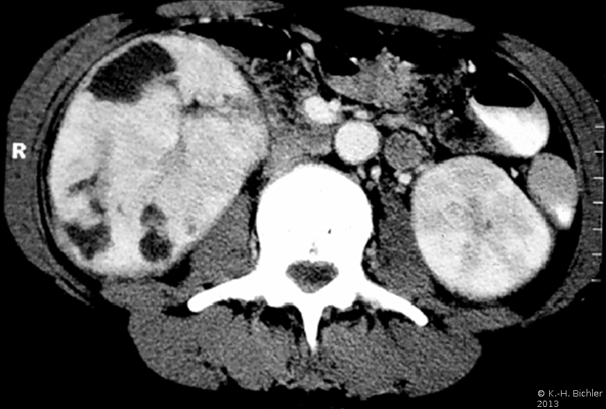
Von Wichtigkeit sind die bildgebenden Verfahren: Sonographie, CT bzw. AUR.
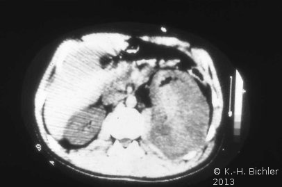
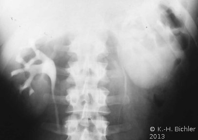
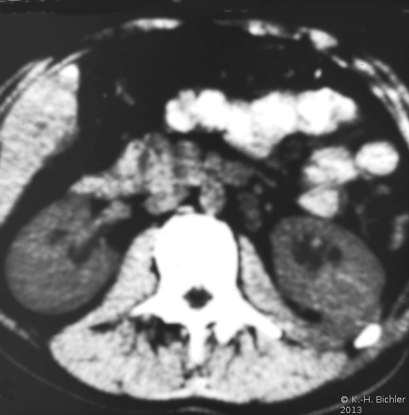
Beispielhaft die Darstellung eines ausgedehnten Nierenabszesses in Sonographie, CT und AUR (Abbildung 6).
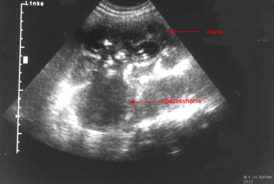
Ausgehend von einem Nierenabszess kann es zum Übertritt der pyogenen Infektion in den peri- bzw. paranephritischen Raum kommen. Die Pathogenese des peri- bzw. paranephritischen Abszesses zeigen die Abbildungen (
Abbildung 5, s. auch Abbildung 4). Ein wichtiges, erstes Diagnostikmittel ist neben den entsprechenden Laboruntersuchungen bei der Ausbreitung der Abszedierung über die Niere hinaus die Sonographie.
Die Abbildung zeigt als weiteres Beispiel die sonographische Darstellung eines ausgedehnten paranephritischen Abszesses (Abbildung 7).
Die Behandlungsstrategie beim Nierenabszess wird in der Abbildung dargestellt (
Abbildung 8).
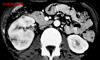
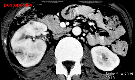
Die Nierenfreilegung und Abszessdrainage bzw. der postoperative Krankheitsverlauf im obigen Fall (s. Abbildung 6) sind in den Abbildungen dargestellt (Abbildung 9,10).
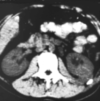
In einer weiteren Beobachtung bei einem 19jährigen Jugendlichen konnte der linksseitige Nierenabszess durch alleinige antibiotische Behandlung beherrscht werden (Abbildung 11).
b
c