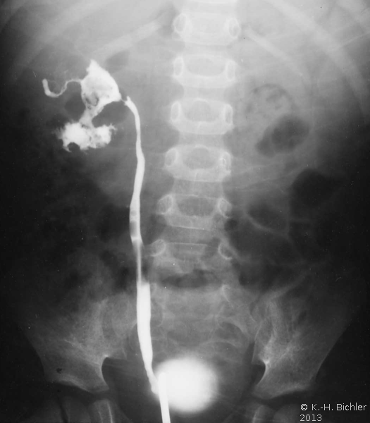
Papillennekrose

Sie tritt zumeist bei Patienten mit Diabetes Mellitus bzw. bei Harnwegsobstruktionen auf (Komplizierte Pyelonephritis). Dabei können eine oder alle Papillen befallen sein. Histologisch findet sich eine koagolative Infarktnekrose, d.h. die Umrisse von befallenen Tubuli sind erhalten. Leukozytäre Reaktionen finden sich an den Rändern der Nekrosebezirke Literatur:Robbins: "Pathologic Basis of Disease", Saunders Philadelphia, 1999.