

b
b 
b
Bei dieser speziellen Pyelonephritis handelt es sich um eine entzündliche Pseudotumorbildendende granulomatöse Nierenerkrankung, die von einer Pyelonephritis ausgeht. Die XGP kommt zumeist im Erwachsenenalter aber auch bei Kindern vor
Literatur:Harzmann, R., Bichler, K.-H. et al: "Xanthogranulomatöse Pyelonephritis", Akt. Urol. 8, 319-325, 1977
Bichler, K.-H., Harzmann, R., Schmitz-Moormann, P., Erdmann, D.: "The Problem of Xanthogranulomatous Pyelonephritis in Childhood", Problemy Chirurgii Dzieciecej, Warschau 1978.
Pathologisch-Anatomisch findet sich eine deutlich vergrößerte Niere, auf der Schnittfläche multiple Abszesse und Granulomknoten sowie Konkremente (Abbildungen 17,18) (s. Einleitung Abbildung 3).
Histologisch sind das Granulationsgewebe bzw. die Granulome massenhaft von Schaumzellen (Makrophagen) durchsetzt. Als Erreger kommen gramnegative Bakterien wie E. coli (50%), Proteus (40%) sowie Staph. aureus und Klebsiella in Frage. Prädisponierdend sind Harnabflussstörungen z.B. durch Urolithiasis (Abbildung 17a).
Auch im Kindesalter kann die XGP vorkommen. Als Beispiel die durch XGP veränderte Niere bei einem achtjährigen Mädchen (Abbildung 17b).
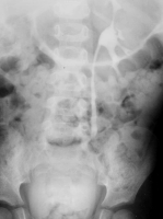
Als weiteres Beispiel die durch XGP zerstörte rechte Niere bei einem 3 Jahre alten Jungen.
Die Abbildungen zeigen die "stumme" rechtsseitige Niere im AUR sowie die retrograde Sondierung der rechten Niere bei dem Dreijährigen (Abbildung 18).
Die operative Freilegung ergab eine deutlich vergrößerte, narbig umgewandelte Niere. Die histologische Diagnose der entfernten Niere lautete zunächst Urogenitaltuberkulose. Eingehendere Untersuchungen korrigierten dieses Ergebnis. Es bestätigte sich eine XGP. Anhand dieser Beobachtung zeigt sich die Schwierigkeit der Differentialdiagnose bei der XGP (Urogenitaltuberkulose / Tumor) (Abbildung 19).
Das Krankheitsbild entspricht einem komplizierten Harnwegsinfekt. Bei ausgedehntem Prozess ist die Niere funktionslos, im AUR "stumme" Niere (s. Abbildung oben).
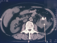
Diagnostisch spielen Sonographie und Computertomographie die entscheidende Rolle: Zumeist fallen die Veränderungen als diffuse Raumforderung auf (Abbildung 20).
Beim Fehlen einer entzündlichen Symptomatik wird differentialdiagnostisch nicht selten sonographisch die Diagnose Tumorverdacht gestellt.
Beispielhaft die bildgebende Diagnostik und das Organpräparat bei einem Patienten mit XGP (Abbildung 21). Hier führte das intraoperative Schnellschnittergebnis Tumor zur Nephrektomie.
Laborchemisch finden sich Veränderungen im Sinne einer Dysproteinämie: BSG-Beschleunigung, erhöhtes CRP, Leukozytose.
Die XGP bereitet diagnostisch große Schwierigkeiten in der Abgrenzung zur Raumforderung. Nierentumor ist die wichtigste Differentialdiagnose. Die Prä- bzw. Intraoperative Diagnostik ist erschwert (s. dazu das Beispiel zur bildgebenden Diagnostik). Die Diagnosestellung der XGP erfolgt in der Regel erst am Nephrektomiepräparat, eine präoperative Diagnostik gelingt nur in 15%! Die Abbildung zeigt die Differentialdiagnose: Tumoren, Entzündung, Anomalien (
Abbildung 22).
Infolge der differentialdiagnostischen Schwierigkeit erfolgt die Behandlung häufig in Richtung auf einen Nierentumor, d.h. die Diagnose wird intraoperativ (Schnellschnitt) oder erst postoperativ nach Nephrektomie durch den Pathologen gestellt
Literatur:Bichler, K.-H.: "Das urologische Gutachten", Springer Berlin, 2004.
Bei der Nierenfreilegung und aufgrund einer Schnellschnittuntersuchung ist in 5% noch eine Nierenteilresektion möglich, zumeist jedoch ist eine Nephrektomie erforderlich (90%). Einzelbeobachtungen zeigen septische Verläufe nach Teilresektion
Literatur:Bichler, K.-H.: "Das urologische Gutachten", Springer Berlin, 2004.
Bessere präoperative Diagnose und Beachtung der Differentialdiagnose Nierentumor/XGP eröffnet die Möglichkeit durch entsprechende antibiotische Behandlung den Erhalt des Organs zu erreichen.
Eine alleinige antibiotische Langzeittherapie bei gesicherter XGP kann im Einzelfall unter strenger Indikation (glatte Abflussverhältnisse!) gerechtfertigt sein (protrahierter, klinischer Verlauf!).
b
c