

b
Bei der Untersuchung und in der Anamnese findet sich zumeist ein schmerzloser Hodentumor, Gynäkomastie kann bestehen (
s. Leydig-Zell-Tumor).
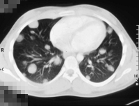
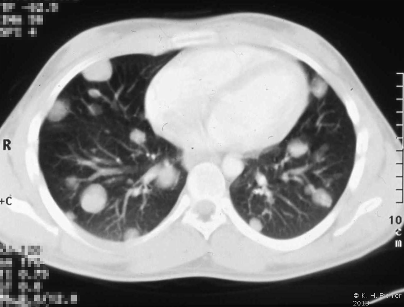
Die Sonographie zeigt einen abgegrenzten, inhomogenen, z.T. auch den ganzen Hoden einnehmenden Tumor. Kalzifizierungen äußern sich in Schlagschattenbildungen (s. Abbildung 3a). CT von Abdomen und Thorax sind zur Erfassung von Lymphknoten- bzw. Lungenmetastasen erforderlich (Abbildung 2).
Die Tumormarker AFP und β-hCG sind bei Kombinationen mit Dottersacktumoranteilen bzw. Synzytiotrophoplasten erhöht. Selten findet sich eine AFP-Erhöhung beim embryonalen Karzinom ohne Dottersacktumoranteile. Hier kann eine Misinterpretation vorliegen oder es kann eine frühe Transformation des Tumors zu Dottersacktumoranteilen vor der morphologischen Differenzierung bestehen (s. oben).
Das therapeutische Vorgehen entspricht dem Schema bei den nichtseminomatösen Tumoren.
Die Prognose im Stadium I ist günstig und wird in großen Kollektiven mit 97% angegeben. Fortgeschrittene Stadien nach Chemotherapie und nachfolgender Entfernung des Resttumors haben eine Überlebensrate von 70-80%.