

b
b
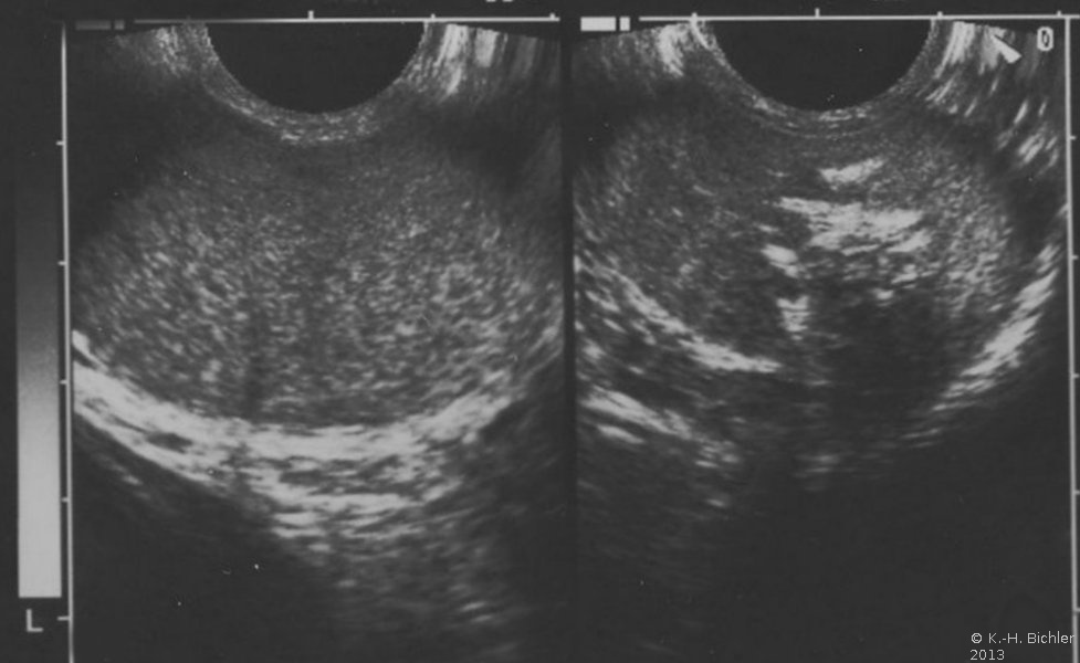
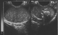
Bei dem jungen Mann fand sich bei der Vorstellung ein schmerzloser Hodentumor links. Die Sonographie ergab ein tumorverdächtiges Areal im linken Hoden mit deutlichem Schlagschatten (Abbildung 3).
Die Tumormarker waren erhöht, AFP 2060 ng/ml, β-hCG 621 mIU/ml. Befunde, die auf Dottersacktanteile bzw. Synzytiotrophoblasten hinweisen.
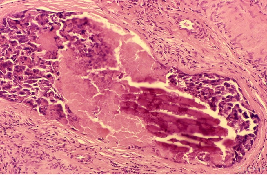
Die Hodenfreilegung und Schnellschnittuntersuchung zeigten ein embryonales Karzinom mit Seminoma in situ. Im Orchidektomiepräparat fand sich ein umschriebener, inhomogener Tumor mit Einblutungen (Abbildung 4).
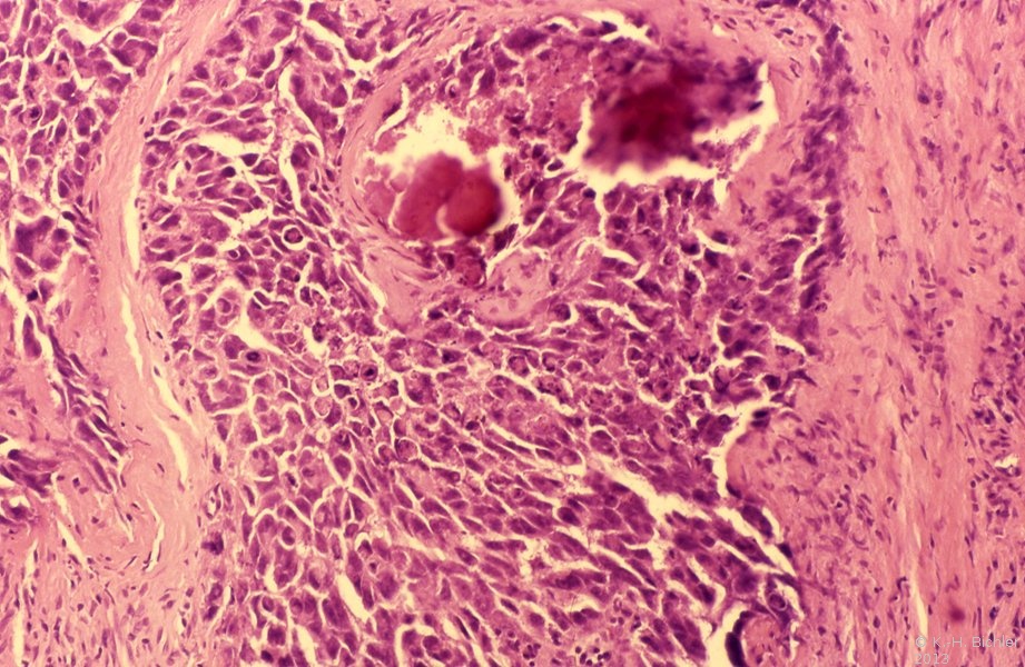
In der histologischen Untersuchung fand sich intratubuläres embryonales Karzinom-Gewebe (pT2) mit fokalen Nekrosen und Verkalkungen (s. Abbildung 3). Die Zellen mit reichlich Zytoplasma, großen vesikulären Kernen und prominten Nucleoli (Abbildung 5). Fernerhin waren Seminomanteile enthalten.
Aufgrund der pathologischen Tumormarker AFP und β-hCG müssen außerdem Foci von Dottersacktumoranteilen (AFP) sowie Syzytiotrophoblasten (hCG) im Hoden bzw. den Metastasen (Lunge) und Lymphknoten vermutet werden (s. CT).
Die Computertomographie des Thorax und Abdomen ergab den Verdacht auf multiple pulmonale Rundherde beiderseits und mehrere intrabdominelle Lymphome in Höhe des Nierenstils.
Eine Chemotherapie nach dem BEP-Schema (vier Zyklen) wurde eingeleitet.
Eine weitere Kasuistik ist Beispiel für die Neigung des embryonalen Karzinoms zur Metastasierung. Darüber hinaus demonstriert der Fall die histologische Unterschiedlichkeit des Primärtumors von den gefundenen Metastasen.
