

b
b
Bei dem jungen Erwachsenen fanden sich beiderseitige Hodenkarzinome mit verschiedenen Tumoranteilen (s. oben). Die Tumoren traten im Abstand von 5 Jahren nacheinander auf.
Der Patient kam wegen Schmerzen und Schwellung im rechten Hoden zum niedergelassenen Urologen. Die Untersuchung ergab palpatorisch Verdacht auf Tumor im rechten Hoden. Sonographisch fand sich ein umschriebenes, tumorverdächtiges Areal (
s. Abbildung 10a). Die Tumormarker waren erhöht: AFP 390 ng/ml und hCG 12,3 mIU/ml (Abbildung 9).
Die Hodenfreilegung ergab im Schnellschnitt ein embryonales Karzinom mit Teratomanteilen vom intermediären Typ und Dottersacktumor. Das Organpräparat zeigte auf der Schnittfläche einen umschriebenen Tumor von heterogener Struktur: Einblutungen, zystische Areale, gallertige Formationen (Abbildung 10).
Eine Biopsie aus dem kontralateralen Hoden war tumorfrei.
Im Computertomogramm fanden sich vergrößerte paraaortale Lymphknoten im Abdominalbereich.
Postoperativ fielen die Tumormarker (AFP) ab, aber nicht gegen 0.
Nach zwei Zyklen BEP waren die Tumormarker im Normbereich. Die Reevaluation erfolgte nach dem 3. Zyklus mit CT und Tumormarkerkontrolle. Es zeigte sich eine komplette Remission.
Der Patient blieb in den darauffolgenden Jahren in regelmäßiger fachurologischer Kontrolle.
Bei einer entsprechenden Untersuchung nach 5 Jahren fiel ein tumorverdächtiger Knoten im linken Resthoden auf. Bei dem Ersttumor auf der rechten Seite war eine Probebiopsie auch aus dem linken Hoden entnommen worden, die tumorfrei war.
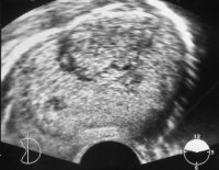
Sonographisch ergab sich ein umschriebener, ca. 2 cm großer, inhomoger tumorverdächtiger Bezirk im linken Hoden (Abbildung 11).
Die tumormarker waren erhöht: AFP 1920 ng/ml, hCG 80,2 mIU/ml (Abbildung 12).
Die Hodenfreilegung und Probeentnahme zur Schnellschnittuntersuchung bestätigte den Hodentumorverdacht. Intraoperativ zeigte sich bei Eröffnung der Tunica albuginia über dem tumorverdächtigen Areal ein umschriebener Tumorknoten von inhomogener Schnittfläche mit zum Teil zystischen, schleimbildenden, gefäßreichem Gewebe (Abbildung 13).
Die histologische Untersuchung ergab embryonales Karzinom, Teile von Dottersacktumor und herdförmige Strukturen eines reifen und unreifen Teratoms (MTI). Postoperativ fielen die Tumormarker ab (Abbildung 12). Eine Lymphadenektomie ergab keinen Tumornachweis. Anschließend erhielt der Patient 3 Zyklen BEP.