

Bei dem Patienten war es innerhalb von vier Jahren nach Orchidektomie links wegen embryonalem Karzinom zu mehrfachen Lymphknotenrezidiven gekommen. Die Tumormarker betrugen primär AFP 416 ng/ml und β-hCG 44 mlU/ml. Die histologische Untersuchung des Primärtumors ergab ein Embryonalkarzinom. Wiederholte Zyklen PEB und Rezidivlymphadenektomien wurden durchgeführt. Die Lymphknotenmetastasen zeigten reifes Teratomgewebe und Anteile des embryonalen Karzinoms.
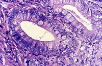
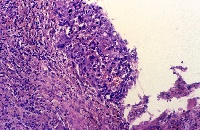
Die Abbildung zeigt den bei der Rezidivlymphadenektomie ausgeräumten Lymphknoten. Histologische ergab sich ein reifes Teratom und kleinere Anteile des embryonalen Karzinom (Abbildung 6).
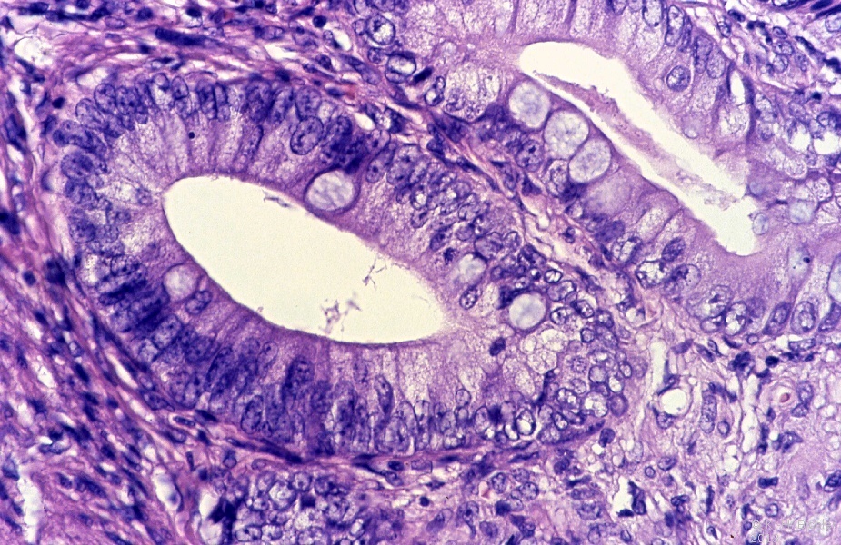
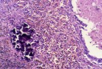
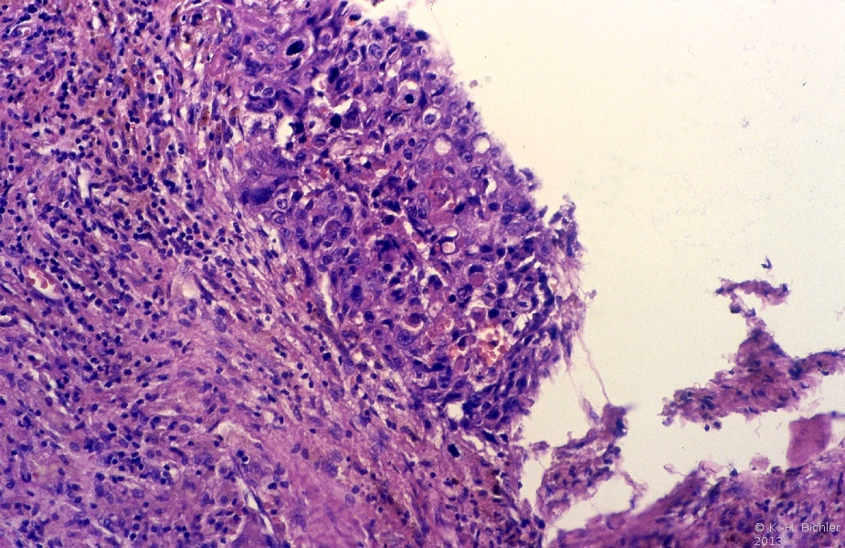
Die histologische Untersuchung der Metastase ergab ein reifes Teratom und Anteile eines embryonalen Karzinoms mit Einbrüchen des Tumors in das Gefäßsystem (Abbildung 7)
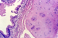
Literatur:Ulbright, T. M.: "Neoplasm of Testis", in Bostwick, D.G. und Eble, J.E.: "Urologic surgical pathology", Mosby St. Louis, 1997. Es fanden sich typische Strukturen des reifen Teratoms (Abbildung 7 ab), die zusammenfassend im Schema dargestellt sind (Abbildung 8).
b
c
b
d