

Die Hufeisenniere neigt aufgrund ihrer morphologischen Verhältnisse zu Harnstau, Harnwegsinfekt und daraus resultierend zur Harnsteinbildung, die zu erheblichen Komplikationen führen kann, wie in dieser Kasuistik gezeigt.
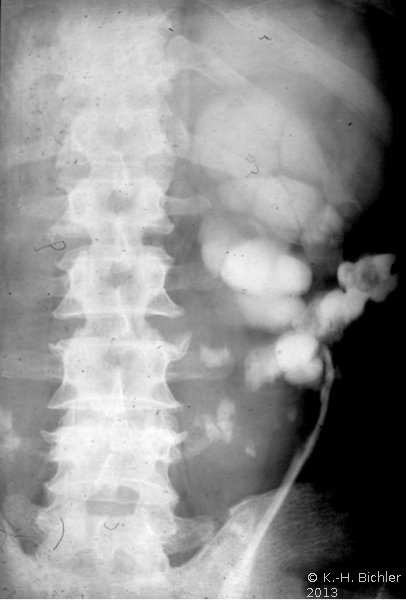
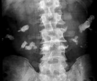
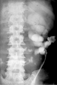
Der Patient kam mit Zeichen eines schweren, fieberhaften Harnwegsinfektes in unsere Behandlung. Die Diagnostik mit Sonographie und Ausscheidungsurogramm sowie Angiographie ergab eine ausgedehnte Harnsteinbildung beiderseits, wobei es im linken Nierenanteil zu Harnabflussbehinderungen gekommen war. Die Abbildungen zeigen die diagnostischen Maßnahmen. Der linke Nierenanteil wurde wegen erheblichen pyonephrotischem Umbau entfernt.
b
c
d