

b
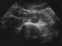
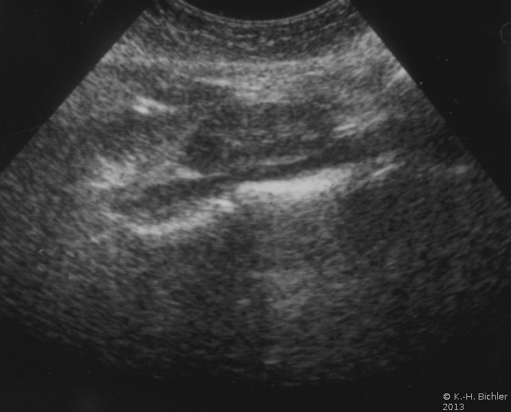
Bei einer jugendlichen Patientin kam es in Folge eines aberrierenden Gefäßes zum Harnstau im linksseitigen Hufeisennierenanteil mit Ausbildung eines fieberhaften Harnwegsinfektes. Unter der Diagnose eines aszendierenden, fieberhaften Harnwegsinfektes wurde die Patientin stationär aufgenommen, nach antibiotischer Therapie, parenteraler Flüssigkeitsapplikation und Bettruhe entfieberte die Patientin. Die Diagnostik ergab in der Sonographie einen Harnstau im linken Nierenanteil mit Verdacht auf Hufeisenniere (Abbildung 4).
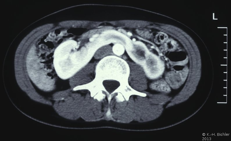
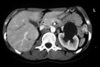
Im Ausscheidungsurogramm und im CT war eine Hufeisenniere mit Pyelektasie links zu erkennen (Abbildung 5).
b
c
b
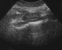
Die retrograde Sondierung gab Hinweis auf ein strangulierendes Hindernis im Bereich des Harnleiterabgangs (aberrierendes Gefäß, Bride?). Das retrograde Pyelogramm zeigte ein erweitertes, aber sonst unauffälliges NBKS (Abbildung 6).
Im Isotopennephrogramm fand sich eine Harnabflussstörung links bei seitengleicher Funktion (Abbildung 7).
Die Nierenfreilegung ergab ein aberrierendes Gefäß. Die Abbildung zeigt schematisch das strangulierende Gefäß und das gestaute Nierenbecken (Abbildung 8).
b
Bei der operativen Korrektur wurde der Harnleiter durchtrennt und vor dem Gefäß End-zu-End-anastomosiert (Abbildung 9).
Die postoperative Röntgenkontrolle zeigt die Normalisierung der linksseitigen Abflussverhältnisse (Abbildung 10).
b
c