

Die Hufeisenniere ist bei einem Drittel der Betroffenen asymptomatisch. Die Fehlbildung neigt aber aufgrund der morphologischen Beschaffenheit zu verschiedenen Komplikationen. Dazu gehören Abflussbehinderungen mit Harnstau (ein- oder beidseitig: 30%), Entwicklung von Harnwegsinfekten (13%) bzw. Harnsteinbildung (17%).
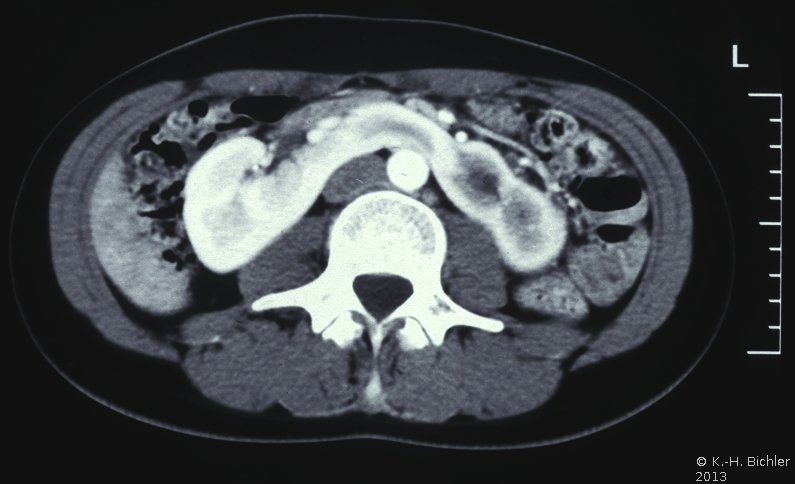
In der Sonographie und im i.v.-Pyelogramm sind malrotierte Nieren beidseits wegweisend. Sonographisch kann der Isthmus nachgewiesen werden. In unklaren Fällen bzw. bei Komplikationen kann mit der Computertomographie der Isthmus, der sich meist in Höhe von Lendenwirbelkörper 3 und 4 befindet, gesehen werden (Abbildung 2).
Bei Harntransportstörungen bzw. Verdacht sollte zur Klärung der seitengetrennten Funktion und Ausprägung der Störung eine Isotopennephrographie erfolgen. Vor operativen Maßnahmen ist eine Nierenangiographie empfehlenswert, da die Hufeisenniere eine atypische Gefäßversorgung aufweist (s. Kasuisitik).