

b 
d
Mittlerweile liegen ausreichende klinische Erfahrungen mit der Anwendung der Extrakorporalen Harnsteinzertrümmerung auch im Kindesalter vor. Kleine Nierenbecken- bzw. partielle Nierenbeckenausgusssteine können daher endoskopisch bzw. mit ESWL entfernt werden.
Begünstigt wird das Verfahren bei Kindern, da die durch die Stoßwelle entstehenden Steinfragmente in Folge größerer Elastizität des Ureterlumens die ableitenden Harnwege leichter als beim Erwachsenen passieren. Auf die früher benötigten speziellen Vorrichtungen zur Lagerung von Kindern auf dem Stoßwellengerät kann bei modernen Geräten verzichtet werden. Die Kinder werden entsprechend der Erwachsenenpositionierung gelagert. Die ESWL wird im Kindesalter immer in Allgemeinnarkose durchgeführt (Abbildungen 3,4)
Literatur:Bichler, K.-H. et al: "Das Harnsteinleiden", Lehmanns Media Berlin, 2007.
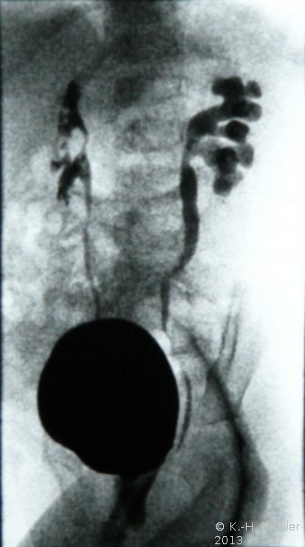
Bei dem 1 Jahre alten Mädchen fand sich bei rezidivierendem Harnwegsinfekt mit pyelonephritischen Veränderungen links und vesikoureteraler Reflux beiderseits ein Nierenbeckenstein links (
Abbildung 5abc). Im Infektfreien Intervall erfolgte die Stoßwellenbehandlung (
Abbildung 6).
Der VUR wurde zunächst abwartend kontrolliert.