

Alternativ zum Verfahren nach Anderson-Hynes ist die offene Operationsmethode nach Culp zu nennen. Hierbei wird ein Umschlaglappen aus dem Nierenbecken gebildet um damit die Engstelle zu erweitern (Abbildung 12).
Das Verfahren eignet sich auch zur Korrektur von Komplikationen nach rekonstruktiven Eingriffen, z.B. Anderson-Hynes.
Das nachfolgende Beispiel zeigt die Anwendung der Methode nach Culp.
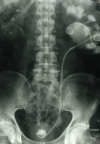
Bei dem Jugendlichen war eine Ureterabgangsstenose nach Anderson-Hynes operiert worden. Wegen postoperativem Aufstau und hochfieberhaftem Harnwegsinfekt war zunächst eine retrograde Sondierung und Einlage einer Ureterschiene erfolgt. Nach Infektbeherrschung Reoperation der Ureterabgangsstenose nach Culp (Abbildung 13).
b
c
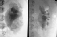
Auch minimalinvasive Methoden wie Ballondilatation bzw. Endopyolothomie (Cold knife incission) stehen zur Verfügung (Abbildung 14abcd).
Die Dilatation kann auch in Kombination mit Schnitt mit einem Spezialballon (Acucise Device ) erfolgen. Eine mehrwöchige postoperative Katheterschienung ist erforderlich (s. Abbildung 14d). Diese Methoden scheinen uns in Übereinstimmung mit Sigel und Rickwood et al eher für Jugendliche bzw. beim Erwachsenen geeignet bzw. zur Behandlung von Komplikationen (Obstruktionen) nach offen operativen Verfahren bei Ureterabgangsstenose.
Maßnahmen zur Behandlung von Komplikationen nach Nierenbeckenplastik (z.B. Stenosen):
Die endoskopischen Verfahren wie Endopyelothomie und die Dilatation durch Ballon eignen sich zur Erweiterung postoperativer Restenosen (Abbildung 14).
b
c
d
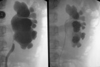
Bei einem fünfjährigen Jungen trat Wochen nach der offenen Pyeloplastik eine Abflussbehinderung auf. Die retrograde Sondierung ergab eine umschriebene Obstruktion. Die in gleicher Sitzung durchgeführte Ballondilatation führte zur Normalisierung der Abflussverhältnisse (Abbildung 15).
b c
d