

b 
b
b 
Zumeist fällt bei den erkrankten Kindern ein vergrößertes Abdomen (Vorbuckelung) auf (Abbildung 5). In 70% bis 90% der kleinen Patienten ist ein Abdominaltumor tastbar, der von den Eltern (ca. 60%) oder dem Kinderarzt bei der
Vorsorgeuntersuchung (ca. 10%) entdeckt wurde. Bei der Untersuchung der Kinder sind die Inspektion und Palpation des Abdomens daher von großer Wichtigkeit. Es handelt sich palpatorisch zumeist um einen glatten, festen Tumor, der oft über die Mittellinie hinausragt. Bei der Palpation eines abdominellen Tumors im Kindesalter ist vorsichtig vorzugehen wegen der Gefahr der Tumorruptur und eventueller Zellaussaht.
Das zweithäufigste Symptom (in etwa 30%) sind diffuse abdominale Schmerzen. Die Ursache ist zumeist eine Blutung in den Tumor und daraus resultierend eine Nierenkapselspannung. Fieber besteht häufig. In 50% tritt eine Mikrohämaturie auf. Hochdruck besteht bei 10% bis 20% der Kinder. Er entsteht entweder durch Druck des Tumors auf die Blutzufuhr oder durch Reninausschüttung aus dem Nephroblastom.
Die Laboruntersuchungen umfassen Blutbild, Urinanalyse (Mikrohämaturie), Bestimmung der Elektrolyte im Serum, Kreatinin (Anstieg bei bilateralen Tumoren), Leberfunktionsparameter, sowie Katecholamine (Differentialdiagnose zum Neuroblastom).
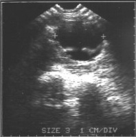
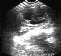
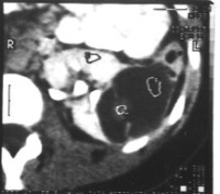
Am Beginn der Diagnostik steht die Sonographie (Abbildung 6). Neben dem Tumornachweis und der Zugehörigkeit zur Niere ist der Nachweis einer eventuellen Tumorinvasion in die Nierenvene (u.U. im Rahmen einer farbkodierten Dopplersonographie) bzw. in die Vena Cava inferior von Interesse. Immerhin bricht der Tumor in 11% in die Nierenvene und zu 6% in die Vena Cava ein, selten bis in das rechte Atrium (s. auch Abbildung 1c)
Literatur:McMahon, D.R., Kramer, S.A.: "Paediatric Urological Oncology" in Whitfield, H.N. et al: "Textbook of Genitourinary Surgery", Second Ed., Blackwell Science Oxford, 1998.
Der Wert der FKDS (farbkodierte Dopplersonographie= Angiodynographie = Farbdoppler) bzw. der kontrastverstärkten Sonographie ist zur Zeit noch nicht hinreichend belegt. Eine Verbesserung der Ergebnisse, auch hinsichtlich der Beurteilung der Nierenvene (z.B. Tumoreinbruch) ist zu erwarten
Literatur:http://online-media.uni-marburg.de/radiologie/ (abgerufen am 14.11.2012)
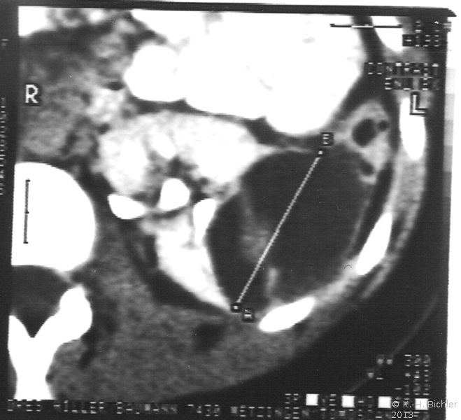
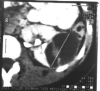
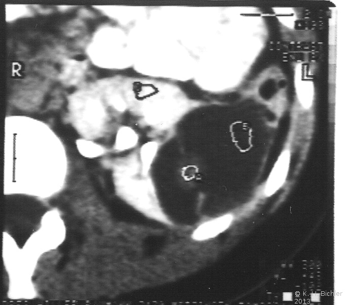
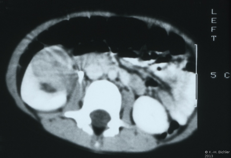
Die Computertomographie zur Bestimmung der Tumorausdehnung, zum Ausschluss einer zystischen Nierenfehlbildung (Differentialdiagnose) und zur Suche nach einem eventuellen kontralateralen Nierentumorbefall von Interesse. Außerdem dient das CT zur Flankierung der Chemotherapie (Ergebniskontrolle) (Abbildung 7,8,9).
(Die Abbildungen 7-8 wurden uns freundlicherweise von Herrn Dr. med. Günter Antes, Kempten überlassen)
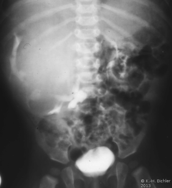
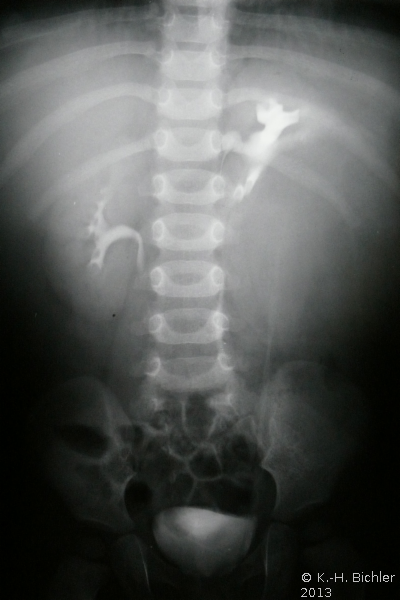
Die abdominale Sonographie bzw. die Computertomographie haben die Ausscheidungsurographie als die bildgebende Untersuchungstechnik bei Patienten mit Oberbauchtumor, z.B. Wilmstumor, verdrängt. Einige Ausscheidungsurographien von Kindern mit Wilmstumoren aus unserer Sammlung aus den 70er Jahren des vergangenen Jahrhunderts sind aus didaktischen Gründen hier wiedergegeben. Die Bilder zeigen instruktiv die Größe und Verdrängung durch den Tumor (
4 Abbildungen HG1).
Röntgenuntersuchungen bzw. Computertomogramme der Lunge zum Ausschluss von Metastasen sind erforderlich, da die Lunge Prädilektionsstelle von Metastasen beim Wilmstumor ist. Der Algorithmus gibt das diagnostische Vorgehen mit Hilfe der bildgebenden Verfahren unter Berücksichtigung der entsprechenden Chemotherapie wieder (
Abbildung 10).
Die diagnostischen Maßnahmen dienen der Stadieneinteilung der Tumorerkrankung (Tabelle 1).
| Stadium | Merkmale |
|---|---|
| Stadium I | Tumor organbegrenzt auf eine Niere, vollständige operative Entfernung ohne Verletzung und Rupturierung möglich |
| Stadium II | Kapselüberschreitend, Tumor kann jedoch in toto entfernt werden
|
| Stadium III | Operativ nur unvollständige Tumorentfernung möglich (Infiltration bedeutsamer Nachbarorgane), Tumorruptur prä- oder perioperativ mit Tumorzellaussaat, Lymphknotenbefall außerhalb der paraaortalen Gruppe |
| Stadium IV | Fernmetastasen (Lunge, Leber, ZNS, Skelett) |
| Stadium V | Bilateraler Tumor (synchron, metachron) |