

b 
Die primäre Hydrozele testis ist charakteristischerweise eine prall-elastische und schmerzlose einseitige Vergrößerung des Skrotums.
Sekundäre Hydrozelen oder die seltene infizierte primäre Hydrozele können sehr schmerzhaft sein.
Die Abbildungen zeigen kindliche Hydrozelen (primäre) bzw. eine im Erwachsenenalter unklarer Genese (Abbildung 4abc).
Die Diagnostik umfasst neben Inspektion und Palpation die
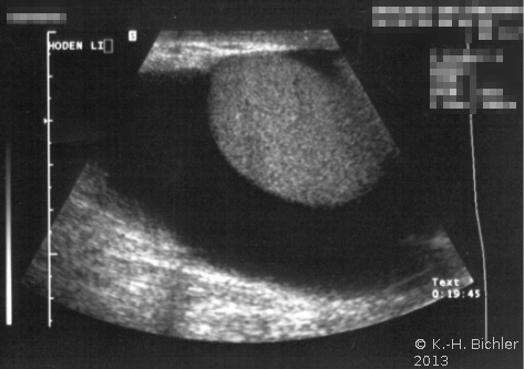
DiaphanoskopieDiaphanoskopieDie Diaphanoskopie ist eine einfache klinische Untersuchung zur Abgrenzung der Hydrocelen von anderen skrotalen Raumforderungen. Bei Aufsetzen einer Untersuchungslampe auf das Skrotum schimmert der flüssigkeitsgefüllte Raum rötlich, bei solidem Skrotalinhalt liese sich das Skrotum jedoch nicht durchstrahlen. sowie die Sonographie (Abbildung 5).
b
c