

Anamnestisch war den Eltern des 11 Monate alten Jungen seit etwa 3 Monaten eine allmähliche Schwellung des Skrotums aufgefallen. Bei der Vorstellung war das Skrotum auf Mannsfaust vergrößert (Abbildung 1).
Der linke Hoden und Nebenhoden waren tastbar, rechts war das Organ nicht zu palpieren. Die Diaphanoskopie sprach nicht für eine Hydrozele. Wegen des Tumorverdachtes erfolgte die Freilegung. Dabei fand sich ein großer zystischer, Tumor, der nicht vom Nebenhoden abgrenzbar war. Der rechte Hoden unauffällig.
Um das gesamte, tumorverdächtige Gewebe entfernen zu können, musste Nebenhoden und Hoden rechts mit abgesetzt werden.
Makroskopisch war die Geschwulst auf der Schnittfläche ödematös aufgelockert und blutig durchsetzt.
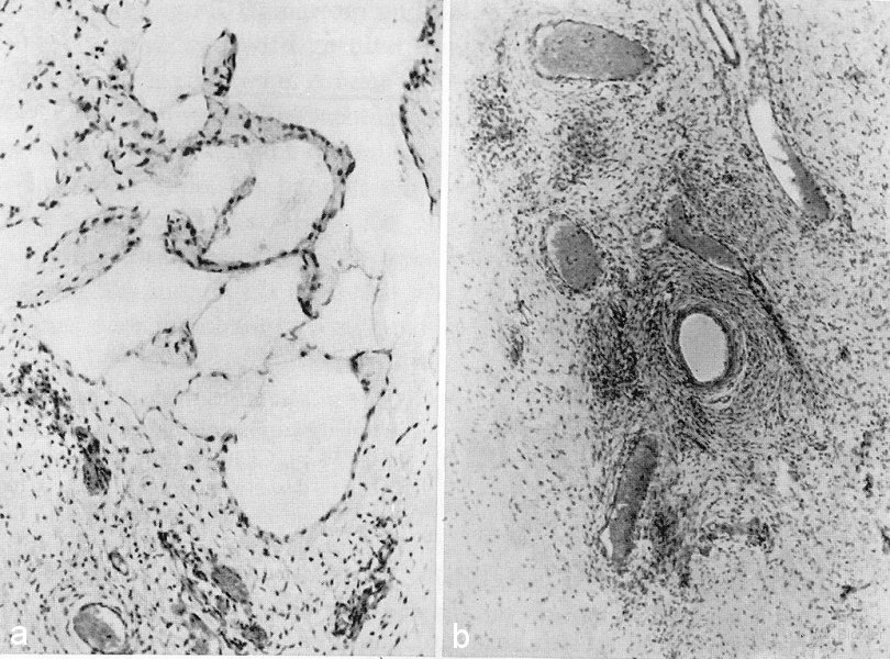
Die histologische Untersuchung ergab ein Lymphangiofibrom. Es fanden sich weite, verschieden geformte Hohlräume mit einer flachen, einschichtigen Zelllage (Endothel) ausgekleidet. Im lockeren, faserigen Zwischengewebe reichlich uniforme Zellen. In kompakteren Abschnitten des Tumors perivaskulär Anhäufungen fibrozytärer kollagenfasrigen Gewebes sowie eine Verdichtung kleiner Zellen (Abbildung 2).
Der weitere klinische Verlauf des Kindes war unauffällig. Eine Nachuntersuchung zwei Jahre später ergab keinen Anhalt für Tumorrezidiv.