

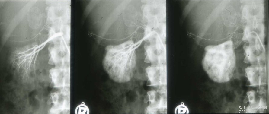
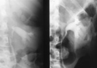
Differentialdiagnostisch muss auch an Zysten der Nebenniere gedacht werden, die zum Teil von erheblicher Größe sein können. Operative (laparoskopische) Entfernung ist bei großen, rupturgefähredeten Zysten angezeigt. Die Abbildungen dazu beispielhaft (Abbildungen 2,3).
b
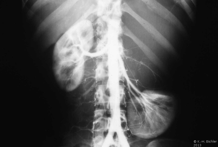
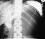
In einem weiteren Beispiel fand sich eine 8x10 cm große Nebennierenzyste, die in der Angiographie eine deutliche Abdrängung der rechten Niere zeigt
b