

b 
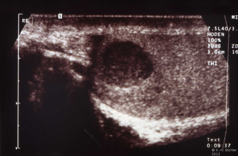
Bei dem jüngeren Erwachsenen war eine umschriebene Verhärtung bei der Palpation und ein tumorverdächtiges Areal in der Sonographie aufgefallen (Abbildung HG1). Die Hodenfreilegung und Entnahme einer Gewebsprobe ergaben in der histologischen Untersuchung ein Seminom sowie Seminoma in Situ (s. Abbildung 3).