


Aufgrund der starken Ablenkbarkeit u.a. Stressoren sollte die Restharnbestimmung mehrfach erfolgen.
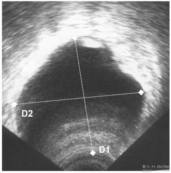
Sonographisch wird das Blasenfüllungsvolumen unmittelbar nach der Miktion in 3 Diagonalen vermessen und nach der Überschlagsformel berechnet:
Restharn [ml] = Länge [mm] x Breite [mm] x Höhe [mm] x 0,55