Hintergrund: Histologie
- a
b 
-
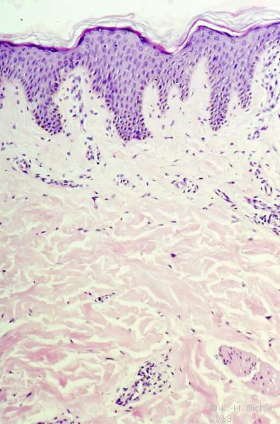
- Abbildung HG1:
-
- Lichen sclerosus et atrophicans
- Hyperkeratose
- Hydrophische Degeneration
- Ödem, Kollagenhomogenisierung
- Entzündliche Infiltrate
- Normale Haut
Histologisch findet sich beim Lichen sclerosus et atrophicans eine atrophische Epidermis, Sklerosierung und Ödem (Abbildung HG1).