


Vier Hodenentwickungs- und Geschlechtszellreifungsphasen sind bekannt. Sie werden von den testikulären Testosteronwerten beeinflusst. Der Testosteronspiegel hängt von der intakten Hypothalamus-Hypophysen-Gonaden-Achse und den daraus resultierenden LH-FSH-Einfluss auf den Hoden ab.
Die gestörte Hypothalamus-Hypophysen-Gonaden-Achse führt bereits im Säuglingsalter aufgrund der eingeschränkten physiologischen Stimulation der fetalen Leydigzellen (2. - 4. Lebensmonat) bzw. Aktivierung der juvenilen Leydigzellen zu einer gestörten Hodenreifung, die sich im Verlauf der Adoleszenz in der Abnahme der unmittelbar post partum bei allen Knaben noch nachweisbaren Gonozyten, die sich in dieser Zeit in die für die Fertilität wichtigen Spermatogonien umwandeln, manifestiert
Literatur:Hadziselimovic, F.: "Hodendystopie" in Thüroff: "Kinderurologie", Thieme Stuttgart, 1997. Folge ist die Verminderung reifungsfähiger Geschlechtszellen. Das Ausmaß dieser Schädigung, die in der Folge unbehandelt bis zur Azoospermie führen kann, korreliert dabei mit der initialen Lage des Hodens: je höher der Hoden gelegen ist, desto schlechter ist die Histologie. Bei einseitigem Maldeszensus testis korreliert die Erniedrigung der Zahl der nachweisbaren Gonozyten mit der Schädigung des zweiten, deszendierten Hodens, der ebenfalls zu niedrige Zahlen von Geschlechtszellen aufweist.
Bei kryptorchen Knaben findet sich histologisch eine progrediente Verminderung der Samenkanälchen und Zahl der Spermatogonien pro Tubulusdurchmesser, was einer Schädigung der exokrinen Hodenfunktion entspricht.
Daneben führt die kryptorche Hodenlage durch peritubuläre Kollagenisierung und Fibrosierung zu einer zusätzlichen progredienten Hodenparenchymschädigung.
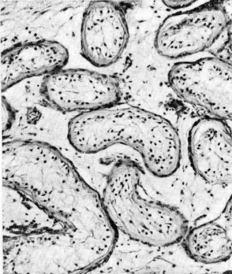
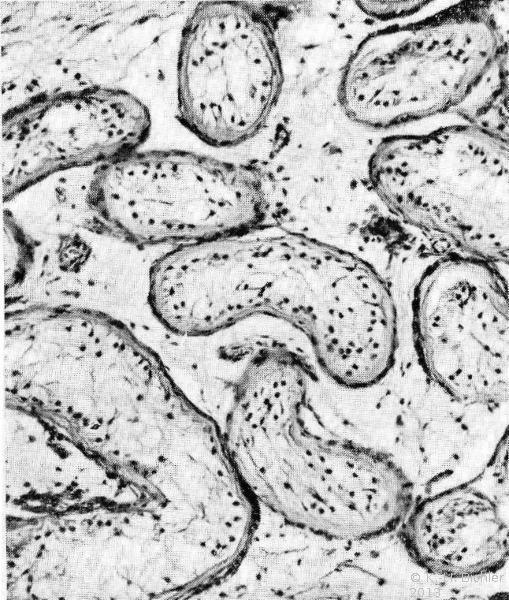
Als Beispiel dazu die histologische Untersuchung der Biopsie des nicht deszendierten Hoden eines 13jährigen:
"Das vorliegende Excisat zeigt lediglich primitive Hodenkanälchen (Tubuli) mit ganz erheblich reduziertem Durchmesser. Im Innern sind die Tubuli im Wesentlichen durch undifferenzierte Sertolizellen ausgekleidet. Nur ganz vereinzelt sieht man Spermatogonien. In den z. T. abnorm weiten Intertubularräumen Vermehrung des kollagenen Bindegewebes sowie unreife, nur gering entfaltete Leydigsche Zwischenzellen. Zusammenfassend das Bild des unreifen, primitiven kryptorchen Hoden (Abbildung HG1)"